Catamenial pneumothorax
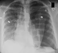
Pneumothorax shown on a chest x-ray. Air fills the space between the collapsed left lung and the chest wall.
SpecialtyPulmonology
SymptomsChest or shoulder pain, shortness of breath
Usual onset30-40 years of age
CausesThoracic endometriosis
Risk factorsCongenital or acquired diaphragmatic defects allowing entry of endometrial tissue into the pleural space
Diagnostic methodVATS procedure
TreatmentSurgical - VATS procedure to remove ectopic endometrial tissue
Pharmacologic - continuous OCP's are favored to suppress menstruation

Catamenial pneumothorax is a spontaneous pneumothorax that recurs during menstruation, within 72 hours before or after the onset of a cycle.[1] It usually involves the right side of the chest and right lung, and is associated with thoracic endometriosis.[2] A third to a half of patients have pelvic endometriosis as well. Despite this association, CP is still considered to be misunderstood as is endometriosis considered to be underdiagnosed. The lack of a clear cause means that diagnosis and treatment is difficult. The disease is believed to be largely undiagnosed or misdiagnosed, leaving the true frequency unknown in the general population.

Catamenial pneumothorax is defined as at least two episodes of recurrent pneumothorax corresponding with menstruation. It was first described in 1958 when a woman presented with 12 episodes of right-sided pneumothorax over 1 year, recurring monthly with menstruation. Thoracotomy revealed thoracic endometriosis.[3] Many patients present with chest pain close to their menstrual periods. Surgical exploration can be used in an attempt to visualize the problem; mechanical pleurodesis or hormonal suppressive therapy can also be used.[1] Sometimes, a second surgical look can show fenestrations in the diaphragm. Due to the fact that endometriosis has been attributed to retrograde menstruation, upwards of 90% of women may have an immune deficiency.[2] This prevents clearance of endometrial cells from the peritoneum.

Endometriosis is defined as tissue similar to the endometrial tissue that has implanted outside of the uterus. Mechanisms include retrograde menstruation resulting in abdomino-pelvic spread, blood-borne or lymphatic spread and deposition, and metaplasia.[4]

Thoracic endometriosis is the most common non-abdominal site of involvement and is also the primary risk factor for catamenial pneumothorax.[5] Catamenial pneumothorax is the primary clinical presentation of thoracic endometriosis, and is defined as recurrent episodes of lung collapse within 72 hours before or after menstruation.

Signs and symptoms

Symptoms include chest or shoulder pain, cough, dyspnea, and shortness of breath.[6] Chest and shoulder pain can be radiating out to the shoulder blades. A dry cough can also present and come with a "crackling" sound upon inhaling.[1] Typically, it occurs in women aged 30 to 40 years, but it has been diagnosed in young girls as early as 10 years of age and post menopausal women (exclusively in women of menstrual age), most with a history of pelvic endometriosis.[7] Chest pain requires immediate medical attention.

Pathophysiology

Although the exact cause is not known, a few theories come from metastatic, hormonal, and anatomical possibilities. The metastatic model proposes that endometrial tissue has migrated from the endometrium to the diaphragm or the pleural space, causing small holes in the diaphragm, allowing air into the pleural space. In the hormonal model, it is believed that prostaglandin F2 causes a narrowing of the bronchioles, the small tubes within the lungs. Narrowing of these can cause the alveoli to rupture which may trap air in the pleural space. In the anatomical model, researchers believe that the absence of the cervical mucous plug, which is normally there during the menstrual cycle, allows air to pass from the genital tract to the pleural space through fenestrations in the diaphragm. Another theory is that hormonal changes that come with the menstrual cycle can cause blebs to spontaneously rupture. Blebs are small blisters/pustules filled with air or fluid and can develop on the lungs.[7]

Endometrial tissue attaches within the thoracic cavity, forming chocolate-like cysts. Generally the parietal pleura is involved, but the lung itself, the visceral layer, the diaphragm, and more rarely the tracheobronchial tree may also be afflicted. The mechanism through which endometrial tissue reaches the thorax remains unclear.

Nearly 90% of cases occur on the right hemithorax, a phenomenon thought to potentially be due to the direction of flow of retroperitoneal fluid.[8] Peritoneal flow occurs in a clockwise pattern, which could likely explain the tendency for catamenial pneumothoraces to be right-sided.[9][10] Defects in the diaphragm, which are found often in affected individuals, could provide an entry path, as could microembolization through pelvic veins. Such diaphragmatic defects may be either congenital or acquired.

The cysts can release blood; the endometrial cyst "menstruates" in the lung. Endometrial cells undergo structural changes during the secretory phase of the menstrual cycle, in a process called decidualization. Decidualized pleural endometrial implants can disrupt the pleura and lead to pneumothorax (and hemothorax).[11]

Diagnosis

Diagnosis can be hinted by high recurrence rates of lung collapse in a woman of reproductive age with endometriosis. CA-125 is elevated.

Clinical diagnosis can be made based on history and imaging, while the gold standard for definitive diagnosis remains Video-assisted thoracoscopic surgery, or VATS, which allows not only the visualization of the lesion, but also surgical treatment via cauterization of the ectopic endometrial tissue. Special staining under a microscope or utilizing a cell marker, such as PAX8, can be used to positively identify endometrial stroma.[6]

Classification

Catamenial pneumothorax is the most common form of thoracic endometriosis syndrome, which also includes catamenial hemothorax, catamenial hemoptysis, catamenial hemothorax and endometriosis lung nodules, as well as some exceptional presentations.[12][13]

Treatment

Pneumothorax can be a medical emergency, as it can become associated with decreased lung function, and if progressed to tension pneumothorax, potentially fatal. In many cases, catamenial pneumothorax will resolve spontaneously and not require immediate intervention. In more severe cases, a chest tube may be required to release air and/or blood and to allow the lung to re-expand.

Surgery, hormonal treatments and combined approaches have all been proposed, with variable results in terms of short and long term outcome.[14] These have both been effective, separately and together. Both have been used to treat women with this condition, and specifics depend on each patient and each situation. Surgery may be used to excise endometrial tissue from the lungs and pleural space as well as repair damage and holes in the diaphragm.[1] Surgery may also be used to remove blisters (blebs). An additional procedure involves a mesh that is placed over the diaphragm to block any holes that may have been missed in the first surgery. Hormonal therapies can also be used to suppress ovulation. Surgical removal of the endometrial tissue should be endeavored during menstruation for optimal visualization.[15] Pleurodesis may also be effective in removing the space between the lung and the chest wall; preventing air build up between these layers.

Non-surgical treatment includes pharmacological treatment via continuous oral contraceptive therapy to avoid cyclical bleeding with monthly menstruation. Oral contraceptives appear to be preferable for patients due to fewer negative side effects than treatment with GnRH agonist therapy, which can lead to hypoestrogenic effects including osteoporosis, resulting in discontinuation of therapy and thus a higher likelihood of recurrence of catamenial pneumothorax.[6]

Epidemiology

Some sources claim this entity represents 3 to 6% of pneumothorax in women.[16] In regard of the low incidence of primary spontaneous pneumothorax (i.e. not due to surgical trauma etc.) in women (about 1/100'000/year),[16] this is a very rare condition. Hence, many basic textbooks do not mention it, and many doctors have never heard of it. Therefore, catamenial pneumothorax is probably under-recognized.[17]

See also

References

  1. 1 2 3 4 "Catamenial Pneumothorax". NORD (National Organization for Rare Disorders). Retrieved 2021-12-02.
  2. 1 2 Visouli AN, Darwiche K, Mpakas A, Zarogoulidis P, Papagiannis A, Tsakiridis K, et al. (November 2012). "Catamenial pneumothorax: a rare entity? Report of 5 cases and review of the literature". Journal of Thoracic Disease. 4 (Suppl 1): 17–31. doi:10.3978/j.issn.2072-1439.2012.s006. PMC 3537379. PMID 23304438.
  3. Maurer ER, Schaal JA, Mendez FL (December 1958). "Chronic recurring spontaneous pneumothorax due to endometriosis of the diaphragm". Journal of the American Medical Association. 168 (15): 2013–2014. doi:10.1001/jama.1958.63000150008012c. PMID 13598643.
  4. Burney RO, Giudice LC (September 2012). "Pathogenesis and pathophysiology of endometriosis". Fertility and Sterility. 98 (3): 511–519. doi:10.1016/j.fertnstert.2012.06.029. PMC 3836682. PMID 22819144.
  5. Rousset-Jablonski C, Alifano M, Plu-Bureau G, Camilleri-Broet S, Rousset P, Regnard JF, Gompel A (September 2011). "Catamenial pneumothorax and endometriosis-related pneumothorax: clinical features and risk factors". Human Reproduction. 26 (9): 2322–2329. doi:10.1093/humrep/der189. PMID 21685141.
  6. 1 2 3 Hirata T, Koga K, Osuga Y (October 2020). "Extra-pelvic endometriosis: A review". Reproductive Medicine and Biology. 19 (4): 323–333. doi:10.1002/rmb2.12340. PMC 7542014. PMID 33071634.
  7. 1 2 Dong B, Wu CL, Sheng YL, Wu B, Ye GC, Liu YF, et al. (April 2021). "Catamenial pneumothorax with bubbling up on the diaphragmatic defects: a case report". BMC Women's Health. 21 (1): 167. doi:10.1186/s12905-021-01318-0. PMC 8059314. PMID 33879147.
  8. Joseph J, Sahn SA (February 1996). "Thoracic endometriosis syndrome: New observations from an analysis of 110 cases". The American Journal of Medicine. 100 (2): 164–170. doi:10.1016/S0002-9343(97)89454-5. PMID 8629650.
  9. Meyers MA (June 1970). "The spread and localization of acute intraperitoneal effusions". Radiology. 95 (3): 547–554. doi:10.1148/95.3.547. PMID 5442658.
  10. Drye JC (October 1948). "Intraperitoneal pressure in the human". Surgery, Gynecology & Obstetrics. 87 (4): 472–475. PMID 18119801.
  11. van der Merwe E, Schuurmans MM, de Kock F, Siebert I, Wright C, Bolliger CT (2005). "Bloodstained pleural effusion in a 38-year-old non-smoking female". Respiration; International Review of Thoracic Diseases. 72 (1): 101–104. doi:10.1159/000083410. PMID 15753644. S2CID 31933812.
  12. Bricelj K, Srpčič M, Ražem A, Snoj Ž (October 2017). "Catamenial pneumothorax since introduction of video-assisted thoracoscopic surgery : A systematic review". Wiener Klinische Wochenschrift. 129 (19–20): 717–726. doi:10.1007/s00508-017-1237-4. PMID 28762057. S2CID 12760621.
  13. McCann MR, Schenk WB, Nassar A, Maimone S (September 2020). "Thoracic endometriosis presenting as a catamenial hemothorax with discordant video-assisted thoracoscopic surgery". Radiology Case Reports. 15 (9): 1419–1422. doi:10.1016/j.radcr.2020.05.064. PMC 7334551. PMID 32642009.
  14. Peikert T, Gillespie DJ, Cassivi SD (May 2005). "Catamenial pneumothorax". Mayo Clinic Proceedings. 80 (5): 677–680. doi:10.4065/80.5.677. PMID 15887438.
  15. Poyraz AS, Kilic D, Hatipoglu A, Demirhan BA (September 2005). "A very rare entity: catamenial pneumothorax". Asian Cardiovascular & Thoracic Annals. 13 (3): 271–273. doi:10.1177/021849230501300317. PMID 16113003. S2CID 46199907.
  16. 1 2 radio/563 at eMedicine
  17. Alifano M, Roth T, Broët SC, Schussler O, Magdeleinat P, Regnard JF (September 2003). "Catamenial pneumothorax: a prospective study". Chest. 124 (3): 1004–1008. doi:10.1378/chest.124.3.1004. PMID 12970030.
This article is issued from Wikipedia. The text is licensed under Creative Commons - Attribution - Sharealike. Additional terms may apply for the media files.