Arachnoid cyst
An MRI of a 25-year-old woman with left frontotemporal arachnoid cyst.
SpecialtyNeurosurgery Edit this on Wikidata

Arachnoid cysts are cerebrospinal fluid covered by arachnoidal cells and collagen[1] that may develop between the surface of the brain and the cranial base or on the arachnoid membrane, one of the three meningeal layers that cover the brain and the spinal cord.[2] Primary arachnoid cysts are a congenital disorder whereas secondary arachnoid cysts are the result of head injury or trauma.[3] Most cases of primary cysts begin during infancy; however, onset may be delayed until adolescence.[2]

Signs and symptoms

Patients with arachnoid cysts may never show symptoms, even in some cases where the cyst is large. Therefore, while the presence of symptoms may provoke further clinical investigation, symptoms independent of further data cannot—and should not—be interpreted as evidence of a cyst's existence, size, location, or potential functional impact on the patient.

Symptoms vary by the size and location of the cyst(s), though small cysts usually have no symptoms and are discovered only incidentally.[2] On the other hand, a number of symptoms may result from large cysts:

  • Cranial deformation or macrocephaly (enlargement of the head), particularly in children[4]
  • Cysts in the suprasellar region in children have presented as bobbing and nodding of the head called bobble-head doll syndrome.[4]
  • Cysts in the left middle cranial fossa have been associated with ADHD in a study on affected children.[5]
  • Headaches.[2] A patient experiencing a headache does not necessarily have an arachnoid cyst.
    • In a 2002 study involving 78 patients with a migraine or tension-type headache, CT scans showed abnormalities in over a third of the patients, though arachnoid cysts only accounted for 2.6% of patients in this study.[6]
    • A study found 18% of patients with intracranial arachnoid cysts had non-specific headaches. The cyst was in the temporal location in 75% of these cases.[7]
  • Seizures[2]
  • Hydrocephalus (excessive accumulation of cerebrospinal fluid)[2]
  • Increased intracranial pressure[2]
  • Developmental delay[2]
  • Behavioral changes[2]
  • Nausea
  • Dysdiadokinesis
  • Hemiparesis (weakness or paralysis on one side of the body)[2]
  • Ataxia (lack of muscle control)[2]
  • Musical hallucination[8]
  • Pre-senile dementia,[9] a condition often associated with Alzheimer's disease
  • In elderly patients (>80 years old) symptoms were similar to chronic subdural hematoma or normal pressure hydrocephalus:[10]

Location-specific symptoms

Causes

The exact cause of arachnoid cysts is not known. Researchers believe that most cases of arachnoid cysts are developmental malformations that arise from the unexplained splitting or tearing of the arachnoid membrane.

In some cases, arachnoid cysts occurring in the middle fossa are accompanied by underdevelopment (hypoplasia) or compression of the temporal lobe. The exact role that temporal lobe abnormalities play in the development of middle fossa arachnoid cysts is unknown.

There are some cases where hereditary disorders have been connected with arachnoid cysts.[18]

Some complications of arachnoid cysts can occur when a cyst is damaged because of minor head trauma.[19] Trauma can cause the fluid within a cyst to leak into other areas (e.g., subarachnoid space). Blood vessels on the surface of a cyst may tear and bleed into the cyst (intracystic hemorrhage), increasing its size. If a blood vessel bleeds on the outside of a cyst, a collection of blood (hematoma) may result. In the cases of intracystic hemorrhage and hematoma, the individual may have symptoms of increased pressure within the cranium and signs of compression of nearby nerve (neural) tissue.

Some scientists debate whether arachnoid cysts are a true congenite condition or if this should be separated from secondary cysts.[20] A recent study shows differences in communication between the arachnoid cyst and the subarachnoid space by CT cisternography.[21] A comparison of arachnoid cyst fluid and CSF in a series of patients show differences in chemical composition.[22]

Arachnoid cysts can also occur secondary to other disorders such as Marfan syndrome, arachnoiditis, or agenesis of the corpus callosum.

Diagnosis

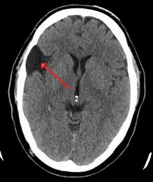
Arachnoid cyst as seen on a CT image of the brain
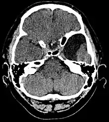
Axial CT showing a typical arachnoid cyst left temporal

Diagnosis is principally by MRI. Frequently, arachnoid cysts are incidental findings on MRI scans performed for other clinical reasons. In practice, diagnosis of symptomatic arachnoid cysts requires symptoms to be present, and many with the disorder never develop symptoms.

Additional clinical assessment tools that can be useful in evaluating a patient with arachnoid cysts include the mini-mental state examination (MMSE), a brief questionnaire-based test used to assess cognition.[9]

Classification

Arachnoid cysts can be found on the brain or on the spine. Intracranial arachnoid cysts usually occur adjacent to the arachnoidal cistern.[23] Spinal arachnoid cysts may be extradural, intradural, or perineural and tend to present with signs and symptoms indicative of a radiculopathy.[23]

Arachnoid cysts may also be classified as primary (congenital) or secondary (acquired) and have been reported in humans, cats, and dogs.[24]

Arachnoid cysts can be relatively asymptomatic or present with insidious symptoms; for this reason, diagnosis is often delayed.

Treatment

Most arachnoid cysts are asymptomatic and do not require treatment. Treatment may be necessary when symptomatic.[2] A variety of procedures may be used to decompress (remove pressure from) the cyst.

Prognosis

Most arachnoid cysts are asymptomatic, and do not require treatment. Where complications are present, leaving arachnoid cysts untreated may cause permanent severe neurological damage due to the progressive expansion of the cyst(s) or hemorrhage (bleeding).[2] However, with treatment most individuals with symptomatic arachnoid cysts do well.

More specific prognoses are listed below:

  • Patients with impaired preoperative cognition had postoperative improvement after surgical decompression of the cyst.[31][32]
  • Surgery can resolve psychiatric manifestations in selected cases.[33]

Epidemiology

Arachnoid cysts are seen in up to 1.1% of the population[34][35] with a gender distribution of 2:1 male:female.[36] Only 20% of these have symptoms, usually from secondary hydrocephalus.[34]

A study that looked at 2,536 healthy young males found a prevalence of 1.7% (95% CI 1.2 to 2.3%). Only a small percentage of the detected abnormalities require urgent medical attention.[37]

See also

References

  1. Ariai S, Koerbel A, Bornemann A, Morgala M, Tatagiba M (2005). "Cerebellopontine angle arachnoid cyst harbouring ectopic neuroglia". Pediatr Neurosurg. 41 (4): 220–3. doi:10.1159/000086566. PMID 16088260. S2CID 34344350.
  2. 1 2 3 4 5 6 7 8 9 10 11 12 13 "Arachnoid Cysts Information Page". NINDS. Retrieved April 7, 2017.
  3. Gelabert-González M (2004). "Intracranial arachnoid cysts". Rev Neurol (in Spanish). 39 (12): 1161–6. PMID 15625636.
  4. 1 2 Barker RA, Scolding N, Rowe D, Larner AJ. The A-Z of Neurological Practice: A Guide to Clinical Neurology Cambridge University Press 2005 Jan 10, p61. (ISBN 0-521-62960-8)
  5. Millichap JG (May 1997). "Temporal lobe arachnoid cyst-attention deficit disorder syndrome: role of the electroencephalogram in diagnosis". Neurology. 48 (5): 1435–9. doi:10.1212/wnl.48.5.1435. PMID 9153486. S2CID 28361288.
  6. Valença MM, Valença LP, Menezes TL (September 2002). "Computed tomography scan of the head in patients with migraine or tension-type headache". Arq Neuropsiquiatr. 60 (3A): 542–7. doi:10.1590/s0004-282x2002000400005. PMID 12244387.{{cite journal}}: CS1 maint: multiple names: authors list (link)
  7. 1 2 Cameron AD. "Psychotic phenomena with migraine and an arachnoid cyst", Progress in Neurology and Psychiatry 2002 Mar-Apr 6(2) http://www.escriber.com/Progress/Features.asp? Action=View&Archive=True&ID=67&GroupID=&Page=11 Archived September 28, 2007, at the Wayback Machine
  8. Griffiths TD (October 2000). "Musical hallucinosis in acquired deafness. Phenomenology and brain substrate". Brain. 123 (10): 2065–76. doi:10.1093/brain/123.10.2065. PMID 11004124.
  9. 1 2 Richards G, Lusznat RM. "An arachnoid cyst in a patient with pre-senile dementia", Progress in Neurology and Psychiatry, 2001 May–June;5(3) http://www.escriber.com/Progress/Features.asp? Action=View&Archive=True&ID=29&GroupID=&Page=18 Archived September 28, 2007, at the Wayback Machine
  10. 1 2 Yamakawa H, Ohkuma A, Hattori T, Niikawa S, Kobayashi H (1991). "Primary intracranial arachnoid cyst in the elderly: a survey on 39 cases". Acta Neurochir (Wien). 113 (1–2): 42–7. doi:10.1007/bf01402113. PMID 1799142. S2CID 24540942.{{cite journal}}: CS1 maint: multiple names: authors list (link)
  11. Buongiorno G, Ricca G (September 2003). "Supratentorial arachnoid cyst mimicking a Ménière's disease attack". J Laryngol Otol. 117 (9): 728–30. doi:10.1258/002221503322334602. PMID 14561365. S2CID 26032192.
  12. Cummings JL, Mega MS. Neuropsychiatry and Behavioral Neuroscience, Oxford University Press, USA; 2Rev Ed, 2003 Jan 23;208. (ISBN 0-19-513858-9)
  13. Alves da Silva J, Alves A, Talina M, Carreiro S, Guimarães J, Xavier M (2007). "Arachnoid cyst in a patient with psychosis: a case report". Annals of General Psychiatry. 6: 16. doi:10.1186/1744-859x-6-16. PMC 1933420. PMID 17598903.{{cite journal}}: CS1 maint: multiple names: authors list (link)
  14. Vakis AF, Koutentakis DI, Karabetsos DA, Kalostos GN (2006). "Psychosis-like syndrome associated with intermittent intracranial hypertension caused by a large arachnoid cyst of the left temporal lobe". Br J Neurosurg. 20 (3): 156–9. doi:10.1080/02688690600776986. PMID 16801049. S2CID 28934276.{{cite journal}}: CS1 maint: multiple names: authors list (link)
  15. Blackshaw S, Bowen RC (November 1987). "A case of atypical psychosis associated with alexithymia and a left fronto-temporal lesion: possible correlations". Can J Psychiatry. 32 (8): 688–92. doi:10.1177/070674378703200809. PMID 3690485. S2CID 30229064.
  16. Cullum CM, Heaton RK, Harris MJ, Jeste DV (October 1994). "Neurobehavioral and neurodiagnostic aspects of late-onset psychosis". Arch Clin Neuropsychol. 9 (5): 371–82. doi:10.1093/arclin/9.5.371. PMID 14589653.
  17. Heinrichs, RW. In Search of Madness: Schizophrenia and Neuroscience Oxford University Press, USA (March 29, 2001); p129. (ISBN 0-19-512219-4)
  18. Schievink WI, Huston J, Torres VE, Marsh WR (December 1995). "Intracranial cysts in autosomal dominant polycystic kidney disease". J. Neurosurg. 83 (6): 1004–7. doi:10.3171/jns.1995.83.6.1004. PMID 7490613.
  19. De K, Berry K, Denniston S (July 2002). "Haemorrhage into an arachnoid cyst: a serious complication of minor head trauma". Emerg Med J. 19 (4): 365–6. doi:10.1136/emj.19.4.365. PMC 1725893. PMID 12101165.
  20. Westermaier T, Schweitzer T, Ernestus RI (2012). "Arachnoid Cysts". Neurodegenerative Diseases. Advances in Experimental Medicine and Biology. Vol. 724. pp. 37–50. doi:10.1007/978-1-4614-0653-2_3. ISBN 978-1-4614-0652-5. PMID 22411232.
  21. Wang X, Chen JX, You C, Jiang S (July 2012). "CT cisternography in intracranial symptomatic arachnoid cysts: classification and treatment". J. Neurol. Sci. 318 (1–2): 125–30. doi:10.1016/j.jns.2012.03.008. PMID 22520095. S2CID 36127070.
  22. Berle M, Wester KG, Ulvik RJ, Kroksveen AC, Haaland OA, Amiry-Moghaddam M, Berven FS, Helland CA (June 2010). "Arachnoid cysts do not contain cerebrospinal fluid: A comparative chemical analysis of arachnoid cyst fluid and cerebrospinal fluid in adults". Cerebrospinal Fluid Res. 7: 8. doi:10.1186/1743-8454-7-8. PMC 2898803. PMID 20537169.
  23. 1 2 Arachnoid cyst. (n.d.). Gale Encyclopedia of Neurological Disorders. Retrieved September 10, 2006, from Answers.com Web site: http://www.answers.com/topic/arachnoid-cyst
  24. Reed SD, Cho DY, Paulsen D (2009). "Quadrigeminal Arachnoid Cysts in a kitten and a dog". J Vet Diagn Invest. 21 (5): 707–710. doi:10.1177/104063870902100519. PMID 19737770. S2CID 28289664.{{cite journal}}: CS1 maint: multiple names: authors list (link)
  25. Strojnik T (2006). "Different approaches to surgical treatment of arachnoid cysts". Wien. Klin. Wochenschr. 118 (Suppl 2): 85–8. doi:10.1007/s00508-006-0540-2. PMID 16817052. S2CID 45788859.
  26. Helland CA, Wester K (July 2006). "Arachnoid cysts in adults: long-term follow-up of patients treated with internal shunts to the subdural compartment". Surg Neurol. 66 (1): 56–61, discussion 61. doi:10.1016/j.surneu.2005.12.032. PMID 16793443.
  27. Park SW, Yoon SH, Cho KH, Shin YS (June 2006). "A large arachnoid cyst of the lateral ventricle extending from the supracerebellar cistern--case report". Surg Neurol. 65 (6): 611–4. doi:10.1016/j.surneu.2005.07.069. PMID 16720186.
  28. Gangemi M, Colella G, Magro F, Maiuri F (June 2007). "Suprasellar arachnoid cysts: endoscopy versus microsurgical cyst excision and shunting". Br J Neurosurg. 21 (3): 276–80. doi:10.1080/02688690701339197. PMID 17612918. S2CID 46128402.
  29. Greenfield JP, Souweidane MM (December 2005). "Endoscopic management of intracranial cysts". Neurosurg Focus. 19 (6): E7. doi:10.3171/foc.2005.19.6.8. PMID 16398484. S2CID 24488862.
  30. Van Beijnum J, Hanlo PW, Han KS, Ludo Van der Pol W, Verdaasdonk RM, Van Nieuwenhuizen O (May 2006). "Navigated laser-assisted endoscopic fenestration of a suprasellar arachnoid cyst in a 2-year-old child with bobble-head doll syndrome. Case report". J. Neurosurg. 104 (5 Suppl): 348–51. doi:10.3171/ped.2006.104.5.348. PMID 16848093. S2CID 35236043.
  31. Wester K, Hugdahl K (September 1995). "Arachnoid cysts of the left temporal fossa: impaired preoperative cognition and postoperative improvement". J. Neurol. Neurosurg. Psychiatry. 59 (3): 293–8. doi:10.1136/jnnp.59.3.293. PMC 486033. PMID 7673959.
  32. Wester K (August 2008). "Intracranial arachnoid cysts--do they impair mental functions?". J. Neurol. 255 (8): 1113–20. doi:10.1007/s00415-008-0011-y. PMID 18677648. S2CID 792144.
  33. Kohn R, Lilly RB, Sokol MS, Malloy PF (1989). "Psychiatric presentations of intracranial cysts". J Neuropsychiatry Clin Neurosci. 1 (1): 60–6. doi:10.1176/jnp.1.1.60. PMID 2577719.
  34. 1 2 Flaherty AW. The Massachusetts General Hospital Handbook of Neurology 2000 Jan 1;105. (ISBN 0-683-30576-X)
  35. Vernooij MW, Ikram MA, Tanghe HL, Vincent AJ, Hofman A, Krestin GP, Niessen WJ, Breteler MM, van der Lugt A (November 2007). "Incidental findings on brain MRI in the general population". N. Engl. J. Med. 357 (18): 1821–8. doi:10.1056/NEJMoa070972. PMID 17978290.
  36. Pradilla G, Jallo G (February 2007). "Arachnoid cysts: case series and review of the literature". Neurosurg Focus. 22 (2): E7. doi:10.3171/foc.2007.22.2.7. PMID 17608350.
  37. Weber F, Knopf H (January 2006). "Incidental findings in magnetic resonance imaging of the brains of healthy young men". J. Neurol. Sci. 240 (1–2): 81–4. doi:10.1016/j.jns.2005.09.008. PMID 16256141. S2CID 27917253.
This article is issued from Wikipedia. The text is licensed under Creative Commons - Attribution - Sharealike. Additional terms may apply for the media files.