
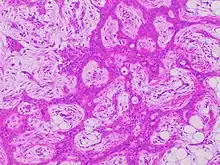
Histopathology of chondroid syringoma
A chondroid syringoma is a well circumscribed but unencapsulated, multilobulated sweat gland-derived tumor.[1] It is centered in the deep dermis or subcutaneous fat.[1] Microscopically it is a mixed tumor, characterized by prominent chondroid or myxoid stroma enveloping benign bland appearing epithelial and myoepithelial cells.[1] Its malignant counterpart is malignant chondroid syringoma.
References
- 1 2 3 "Chondroid syringoma". PathologyOutlines. Minor changes: 6 November 2020
This article is issued from Wikipedia. The text is licensed under Creative Commons - Attribution - Sharealike. Additional terms may apply for the media files.