Collecting duct carcinoma
Other namesBellini duct carcinoma[1]
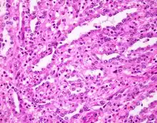
Collecting duct carcinoma. H&E stain.
SpecialtyOncology/nephrology
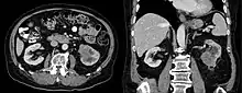
Collecting duct carcinoma in computed tomography

Collecting duct carcinoma (CDC) is a type of kidney cancer that originates in the papillary duct of the kidney. It is rare, accounting for 1-3% of all kidney cancers.[2] It is also recently described; a 2002 review found just 40 case reports worldwide.[3] Previously, due to its location, CDC was commonly diagnosed as renal cell carcinoma or a subtype of renal cell carcinoma.[4] However, CDC does not respond well to chemotherapy drugs used for renal cell carcinoma, and progresses and spreads more quickly.

Signs and symptoms

Signs and symptoms are as for kidney cancer.

Histology

Histologic examination of collecting duct carcinoma demonstrates an infiltrative lesion with tubulopapillary, irregular channels lined by high grade hobnail cells with marked desmoplastic response and brisk neutrophilic infiltrate.

Treatment

History

CDC was thought to be renal cell carcinoma, until "recently developed techniques of lectin histochemistry" helped forward knowledge of kidney duct cancers.[5]

References

  1. Amin MB, MacLennan GT, Gupta R, Grignon D, Paraf F, Vieillefond A, Paner GP, Stovsky M, Young AN, Srigley JR, Cheville JC (March 2009). "Tubulocystic carcinoma of the kidney: clinicopathologic analysis of 31 cases of a distinctive rare subtype of renal cell carcinoma". Am. J. Surg. Pathol. 33 (3): 384–92. doi:10.1097/PAS.0b013e3181872d3f. PMID 19011562.
  2. Fakhrai N, Haitel A, Balassy C, Zielinski CC, Schmidinger M (January 2005). "Major response and clinical benefit following third-line treatment for Bellini duct carcinoma". Wien. Klin. Wochenschr. 117 (1–2): 63–5. doi:10.1007/s00508-004-0289-4. PMID 15986594.
  3. Singh I, Nabi G (2002). "Bellini duct carcinoma: review of diagnosis and management" (PDF). Int Urol Nephrol. 34 (1): 91–5. doi:10.1023/A:1021315130481. PMID 12549647.
  4. Méjean A, Rouprêt M, Larousserie F, Hopirtean V, Thiounn N, Dufour B (April 2003). "Is there a place for radical nephrectomy in the presence of metastatic collecting duct (Bellini) carcinoma?". J. Urol. 169 (4): 1287–90. doi:10.1097/01.ju.0000050221.51509.f5. PMID 12629344.
  5. O Natsume; S Ozono; T Futami & M Ohta (1997). "Bellini duct carcinoma: a case report". Japanese Journal of Clinical Oncology. 27 (2): 107–110. doi:10.1093/jjco/27.2.107. PMID 9152800.
This article is issued from Wikipedia. The text is licensed under Creative Commons - Attribution - Sharealike. Additional terms may apply for the media files.