| Papillary serous cystadenocarcinoma | |
|---|---|
![]() | |
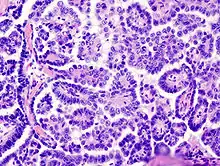
| Medium power slide of ovarian serous adenocarcinoma stained using haematoxylin and eosin | |
| Specialty | Oncology |
Papillary serous cystadenocarcinomas are the most common form of malignant ovarian cancer making up 26 percent of ovarian tumours in women aged over 20 in the United States.[1]
As with most ovarian tumours, due to the lack of early signs of disease these tumours can be large when discovered and have often metastasized, often by spreading along the peritoneum.[2]
Histopathology
Papillary serous cystadenocarcinomas may exhibit psammoma bodies upon histopathology.[3]
Diagnosis
Epidemiology

Ovarian cancers in women aged 20+, with area representing relative incidence and color representing 5-year relative survival rate.[1] Papillary serous cystadenocarcinoma is labeled at center right.
Gallery
Papillary serous cystadenoma
References
- 1 2 Kosary CL (2007). "Chapter 16: Cancers of the Ovary". In Ries LA, Young JL, Keel GE, Eisner MP, Lin YD, Horner MJ (eds.). SEER Survival Monograph: Cancer Survival Among Adults: US SEER Program, 1988-2001, Patient and Tumor Characteristics. SEER Program. Vol. NIH Pub. No. 07-6215. Bethesda, MD: National Cancer Institute. pp. 133–144. Archived from the original on 2013-10-10.
- ↑ "The Internet Pathology Laboratory for Medical Education". The University of Utah Eccles Health Sciences Library. Retrieved 2009-06-27.
- ↑ Ovarian papillary serous cystadenocarcinoma at WebPath, The Internet Pathology Laboratory for Medical Education at Mercer University School of Medicine. Retrieved July 2011
External links
This article is issued from Wikipedia. The text is licensed under Creative Commons - Attribution - Sharealike. Additional terms may apply for the media files.
.jpg.webp)