Transplant glomerulopathy
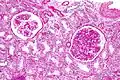
Micrograph showing a glomerulus with changes characteristic of a transplant glomerulopathy. PAS stain.
SpecialtyPathology

Transplant glomerulopathy (TG) is a disease of the glomeruli in transplanted kidneys. It is a type of renal injury often associated with chronic antibody-mediated rejection. However, transplant glomerulopathy is not specific for chronic antibody-mediated rejection; it may be the result of a number of disease processes affecting the glomerular endothelium.[1]

Pathology

It is characterized by glomerular basement membrane thickening (referred to as tram-tracking of the basement membrane), increased mesangial matrix and segmental and global glomerulosclerosis.

The differential diagnosis of tram-tracking includes membranoproliferative glomerulonephritis (especially hepatitis C), and thrombotic microangiopathies.[1]

See also

References

  1. 1 2 Haas, M. (Oct 2011). "Transplant glomerulopathy: it's not always about chronic rejection". Kidney Int. 80 (8): 801–3. doi:10.1038/ki.2011.192. PMID 21960169.
This article is issued from Wikipedia. The text is licensed under Creative Commons - Attribution - Sharealike. Additional terms may apply for the media files.