Cerebral shunt
A diagram of a typical brain shunt
MeSHD002557

A cerebral shunt is a device permanently implanted inside the head and body to drain excess fluid away from the brain. They are commonly used to treat hydrocephalus, the swelling of the brain due to excess buildup of cerebrospinal fluid (CSF). If left unchecked, the excess CSF can lead to an increase in intracranial pressure (ICP), which can cause intracranial hematoma, cerebral edema, crushed brain tissue or herniation.[1] The drainage provided by a shunt can alleviate or prevent these problems in patients with hydrocephalus or related diseases.

Shunts come in a variety of forms, but most of them consist of a valve housing connected to a catheter, the lower end of which is usually placed in the peritoneal cavity. The main differences between shunts are usually in the materials used to construct them, the types of valve (if any) used, and whether the valve is programmable or not.[2]

Description

Valves types

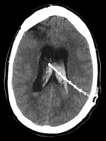
A ventriculoperitoneal shunt running from a brain ventricle to the abdominal cavity. CT scan of the head, 2016.
Valve type Description
Delta Designed to prevent overdrainage. Remains closed until ICP reaches a predetermined level. Leaves shunted ventricle larger than the non-shunted ventricles.[3][4]
Medium pressure cylindrical Can lead to uneven drainage of ventricles.[3]
Nulsen and Spitz Contains two ball-valve units connected with a spring. Does not have an adjustable pressure setting. First mass-produced valve used to treat hydrocephalus in 1956.[5]
Spitz-Holter Uses slits in silicone to avoid mechanical failure.[6][7]
Anti-siphon Prevents over drainage by preventing the siphon effect. The device closes when the pressure within the valve becomes negative relative to the ambient pressure. Prevents overdrainage that might occur when a patient sits, stands or rapidly changes posture.[8]
Sigma The Sigma valve operates on a flow-control mechanism as opposed to the pressure-control system of other valves. The device can regulate CSF flow changes without being programmed or surgically changed. The first iteration was introduced in 1987. Valve operated in three stages to prevent over and under drainage.[9]

Shunt location

X-ray of a ventriculoperitoneal shunt

The location of the shunt is determined by the neurosurgeon based on the type and location of the blockage causing hydrocephalus. All brain ventricles are candidates for shunting. The catheter is most commonly placed in the abdomen but other locations include the heart and lungs.[10] Shunts can often be named after the route used by the neurosurgeon. The distal end of the catheter can be located in just about any tissue with enough epithelial cells to absorb the incoming CSF. Below are some common routing plans for cerebral shunts.

Frazier's point

It is located on the parietal bone, above the lambdoid suture, 3 to 4 cm lateral to the midline and 6 cm above the inion.[11] It is a common site for ventricular cannulation in the context of inserting a ventriculoperitoneal shunt for the treatment of hydrocephalus. It was first described by C H Frazier in 1928.[12]

Shunt routing

Route Location of fluid drain
Ventriculo-peritoneal shunt (VP shunt) Peritoneal cavity
Ventriculo-atrial shunt (VA shunt) Right atrium of the heart
Ventriculo-pleural shunt (VPL shunt) Pleural cavity
Ventriculo-cisternal shunt (VC shunt) Cisterna magna
Ventriculo-subgaleal shunt (SG shunt) Subgaleal space
Lumbar-peritoneal shunt (LP shunt) Peritoneal cavity

A subgaleal shunt is usually a temporary measure used in infants who are too small or premature to tolerate other shunt types. The surgeon forms a pocket beneath the epicranial aponeurosis (the subgaleal space) and allows CSF to drain from the ventricles, creating a fluid-filled swelling on the baby's scalp. These shunts are normally converted to VP or other shunt types once the infant is big enough.[13]

Indications

Below is a short list of known complications that can lead to hydrocephalus requiring shunting.

Diagnoses Description Incidence
Congenital hydrocephalus A wide range of genetic abnormalities that could lead to hydrocephalus at birth. 0.04–0.08%[14]
Tumor A number of different tumors can lead to CSF blockage if they are located in certain areas. Some of these areas include the lateral or third ventricles, the posterior fossa, and intraspinal tumors. The tumors may be malignant or benign.[15] Unknown
Post-haemorrhagic hydrocephalus Bleeding into the ventricles of the brain, especially in infancy, can lead to blockage of CSF drainage and cause hydrocephalus.
Spina bifida Specifically spina bifida myelomeningocele can cause the development of hydrocephalus because the cerebellum will block the flow of CSF in a development of Chiari Malformation II. 0.125%[16]
Congenital aqueductal stenosis A genetic disorder which can cause deformations of the nervous system. The defect is commonly associated with intellectual disability, abducted thumbs and spastic paraplegia.[14] 0.003%[14]
Craniosynostosis Craniosynostosis occurs when the sutures of the skull close too early. The result of multiple sutures fusing before the brain stops growing is an increase in ICP leading to hydrocephalus.[17] 0.05%[18]
Post-meningitic hydrocephalus The inflammation and scarring caused by meningitis can inhibit CSF absorption.
Dandy–Walker syndrome Patients usually present with a cystic deformity of the fourth ventricle, hypoplasia of the cerebellar vermis, and an enlarged posterior fossa. The condition is a genetically heritable disease.[19] 0.003%[20]
Arachnoid cyst A defect caused when CSF forms a collection that is trapped in the arachnoid membranes. The resulting cyst can then block the normal flow of CSF from the brain resulting in hydrocephalus as well as other defects. The most common locations for an arachnoid cyst are the middle fossa and the posterior fossa. The most common symptoms are nausea and vertigo.[21] 0.05%[22]
Idiopathic intracranial hypertension A rare neurological disorder affecting approximately 1 in 100,000 people, most of whom are women of child-bearing age. IIH results in a raised intracranial pressure and can lead to permanent loss of vision.
Normal pressure hydrocephalus, also known as Hakim-Adams syndrome Excess cerebrospinal fluid (CSF) occurs in the ventricles, and with normal or slightly elevated cerebrospinal fluid pressure

Complications

There are a number of complications associated with shunt placement. Many of these complications occur during childhood and cease once the patient has reached adulthood. Many of the complications require immediate shunt revision (the replacement or reprogramming of the already existing shunt). The common symptoms often resemble a new onset of hydrocephalus, such as headaches, nausea, vomiting, double vision, and an alteration of consciousness. This can result in damage to an individual's short-term memory.[10] In the pediatric population, the shunt failure rate two years after implantation has been estimated to be as high as 50%.[23] Those patients with advanced age, prolonged hospital stay, GCS score of less than 13, extra-ventricular drains in situ, or excision of brain tumors are more likely to have early shunt malfunction.[24]

Infection

Infection is a common complication that normally affects pediatric patients because they have not yet built up immunities to a number of different diseases. Normally, the incidence of infection decreases as the patient grows older and the body gains immunity to various infectious agents.[10] Shunt infection can occur in up to 27% of patients. Infection can lead to long term cognitive defects, neurological problems, and in some cases death. Common microbial agents for shunt infection include Staphylococcus epidermidis, Staphylococcus aureus, and Candida albicans. Further factors that can lead to shunt infection include shunt insertion at a young age (less than six months old) and the type of hydrocephalus being treated. There is no strong correlation between infection and shunt type.[25] Though the symptoms of a shunt infection are generally similar to the symptoms seen in hydrocephalus, infection symptoms can also include fever and elevated white blood cell counts.[26]

Treatment of shunt infections

Treatment of a CSF shunt infection generally includes removal of the shunt and placement of a temporary ventricular reservoir until the infection is resolved.[27][28] There are four main methods of treating ventriculoperitoneal (VP) shunt infections: (1) antibiotics; (2) removal of infected shunt with immediate replacement; (3) externalization of shunt with eventual replacement; (4) removal of infected shunt with external ventricular drain (EVD) placement and eventual shunt re-insertion. The last method has the highest success rate at over 95%.[29]

Medical treatment of shunt infection

Initial empiric therapy for CSF shunt infection should include broad antibiotic coverage for gram-negative aerobic bacilli including pseudomonas as well as for gram-positive organisms including Staphylococcus aureus and coagulase-negative staphylococcus, such as a combination of ceftazidime and vancomycin. Some clinicians add parenteral or intrathecal aminoglycosides to enhance pseudomonas coverage, although the efficacy of the aminoglycosides is not clear. Meropenem and aztreonam are additional antibiotic options that are effective against gram-negative bacterial infections.[30]

Surgical treatment of shunt infection

To evaluate the benefit of surgical shunt removal or externalization followed by removal, Wong et al. compared two groups: one with medical treatment alone, and another with medical and surgical treatment simultaneously. 28 patients with infection after ventriculoperitoneal shunt implantation over an 8-year period in their neurosurgical center were studied. 17 of these patients were treated with shunt removal or externalization followed by removal in addition to IV antibiotics while the other 11 were treated with IV antibiotics only. The group receiving both surgical shunt removal and antibiotics showed lower mortality – 19% versus 42% (p = 0.231). Despite the fact that these results are not statistically significant, Wong et al. suggest managing VP shunt infections via both surgical and medical treatment.[31]

An analysis of 17 studies published over the past 30 years regarding children with CSF shunt infections revealed that treating with both shunt removal and antibiotics successfully treated 88% of 244 infections, while antibiotic therapy alone successfully treated the CSF shunt infection in only 33% of 230 infections.[28][32]

While typical surgical methods of handling VP shunt infections involve removal and reimplantation of the shunt, different types of operations have used with success in select patients. Steinbok et al. treated a case of recurrent VP shunt infections in an eczematous patient with a ventriculosubgaleal shunt for two months until the eczema healed completely. This type of shunt allowed them to avoid the area of diseased skin that acted as the source of infection.[29] Jones et al. have treated 4 patients with non-communicating hydrocephalus who had VP shunt infections with shunt removal and third ventriculostomy. These patients were cured of the infection and have not required shunt re-insertion, thus showing the effectiveness of this procedure in these types of patients.[33]

Obstruction

Another leading cause of shunt failure is a blockage of the shunt at either the proximal or distal end. At the proximal end, the shunt valve can become blocked due to the buildup of excess protein in the CSF. The extra protein will collect at the point of drainage and slowly clog the valve. The shunt can also become blocked at the distal end if the shunt is pulled out of the abdominal cavity (in the case of VP shunts), or from similar protein buildup. Other causes of blockage are overdrainage and slit ventricle syndrome.[10]

Over drainage

Over drainage occurs when a shunt has not been adequately designed for the particular patient. Overdrainage can lead to a number of different complications some of which are highlighted below.

Usually one of two types of overdrainage can occur. First, when the CSF drains too rapidly, a condition known as extra-axial fluid collection can occur. In this condition the brain collapses on itself resulting in the collection of CSF or blood around the brain. This can cause severe brain damage by compressing the brain, and a subdural hematoma may develop. Extra-axial fluid collection can be treated in three different ways depending on the severity of the condition. Usually the shunt will be replaced or reprogrammed to release less CSF, and the fluid that has collected around the brain will be drained. The second condition, known as slit ventricle syndrome, occurs when CSF overdrains slowly over several years. More information on slit ventricle syndrome appears below.[10][34]

Chiari I malformation

Recent studies have shown that over drainage of CSF due to shunting can lead to acquired Chiari I malformation.[35] It was previously thought that Chiari I Malformation was a result of a congenital defect but new studies have shown that overdrainage of Cysto-peritoneal shunts used to treat arachnoid cysts can lead to the development of posterior fossa overcrowding and tonsillar herniation, the latter of which is the classic definition of Chiari Malformation I. Common symptoms include major headaches, hearing loss, fatigue, muscle weakness and loss of cerebellum function.[36]

Slit ventricle syndrome

Slit ventricle syndrome is an uncommon disorder associated with shunted patients, but results in a large number of shunt revisions. The condition usually occurs several years after shunt implantation. The most common symptoms are similar to normal shunt malfunction, but there are several key differences. First, the symptoms are often cyclical and will appear and then subside several times over a lifetime. Second, the symptoms can be alleviated by lying prone. In the case of shunt malfunction neither time nor postural position will affect the symptoms.[37]

The condition is often thought to occur during a period where overdrainage and brain growth occur simultaneously. In this case, the brain fills the intraventricular space, leaving the ventricles collapsed. Furthermore, the compliance of the brain will decrease, which prevents the ventricles from enlarging, thus reducing the chance for curing the syndrome. The collapsed ventricles can also block the shunt valve, leading to obstruction. Since the effects of slit ventricle syndrome are irreversible, constant care in managing the condition is needed.[34][35]

Intraventricular hemorrhage

An intraventricular hemorrhage can occur at any time during or after a shunt insertion or revision. Intraparenchymal hemorrhages that are multi-focal in nature have also been described in the pediatric population following ventriculoperitoneal shunting.[38] The hemorrhage can cause an impairment in shunt function which can lead to severe neurological deficiencies.[35] Studies have shown that intraventricular hemorrhage can occur in nearly 31% of shunt revisions.[39]

Outcomes and prognosis

Shunt removal

Though there have been many cases of patients reaching "shunt independence", there is no general agreement among doctors on how to determine which patients might survive without a shunt. It can be very difficult to discern whether a patient could be shunt independent, except under some very specific circumstances. Overall, the permanent removal of a shunt is a rare but not unheard of procedure.[40]

See also

References

  1. Hlatky, Roman; Valadka, Alex B.; Robertson, Claudia S. (2003). "Intracranial hypertension and cerebral ischemia after severe traumatic brain injury". Neurosurgical Focus. 14 (4): e2. doi:10.3171/foc.2003.14.4.2. PMID 15679301.
  2. Bradley, William G.; Bahl, Gautam; Alksne, John F. (2006). "Idiopathic normal pressure hydrocephalus may be a 'Two Hit' disease: Benign external hydrocephalus in infancy followed by deep white matter ischemia in late adulthood". Journal of Magnetic Resonance Imaging. 24 (4): 747–55. doi:10.1002/jmri.20684. PMID 16958056. S2CID 41201974.
  3. 1 2 Jain, Harsh; Natarajan, Kal; Sgouros, Spyros (2005). "Influence of the shunt type in the difference in reduction of volume between the two lateral ventricles in shunted hydrocephalic children". Child's Nervous System. 21 (7): 552–8. doi:10.1007/s00381-004-1096-y. PMID 15682319. S2CID 1992388.
  4. (2008). http://www.medtronic.com/neurosurgery/valves.html Archived 2010-03-24 at the Wayback Machine, Retrieved November 30, 2009
  5. Boockvar, John A.; Loudon, William; Sutton, Leslie N. (2001). "Development of the Spitz—Holter valve in Philadelphia". Journal of Neurosurgery. 95 (1): 145–7. doi:10.3171/jns.2001.95.1.0145. PMID 11453388.
  6. http://www.uh.edu/engines/epi2582.htm%5B%5D%5B%5D
  7. http://www.medterms.com/script/main/art.asp?articlekey=26245%5B%5D%5B%5D
  8. Anti-Siphon Device; Integra Neurosciences; Label 2002
  9. http://www.integra-ls.com/products/?product=47 Archived 2010-03-26 at the Wayback Machine, Retrieved November 30, 2009
  10. 1 2 3 4 5 Interview with Dr. Gary R. Gropper; Piedmont Neurosurgery; October 15, 2009
  11. Morone, P. J.; Dewan, M. C.; Zuckerman, S. L.; Tubbs, R. S.; Singer, R. J. (2020). "Craniometrics and Ventricular Access: A Review of Kocher's, Kaufman's, Paine's, Menovksy's, Tubbs', Keen's, Frazier's, Dandy's, and Sanchez's Points". Operative Neurosurgery (Hagerstown, Md.). 18 (5): 461–469. doi:10.1093/ons/opz194. PMID 31420653.
  12. Frazier, C. H. (1928). "Operation for the Radical Cure of Trigeminal Neuralgia: Analysis of Five Hundred Cases". Annals of Surgery. 88 (3): 534–547. doi:10.1097/00000658-192809000-00021. PMC 1398890. PMID 17865965.
  13. Rizvi, Syed Ali A.; Wood, Martin (2010). "Ventriculosubgaleal Shunting for Post-Haemorrhagic Hydrocephalus in Premature Neonates". Pediatric Neurosurgery. 46 (5): 335–9. doi:10.1159/000320135. PMID 21346395. S2CID 25944620.
  14. 1 2 3 Schrander-Stumpel, C.; Fryns, J. -P. (1998). "Congenital hydrocephalus: Nosology and guidelines for clinical approach and genetic counselling". European Journal of Pediatrics. 157 (5): 355–62. doi:10.1007/s004310050830. PMID 9625330. S2CID 24682611.
  15. Zuccaro, Graciela; Sosa, Fidel; Cuccia, Vicente; Lubieniecky, Fabiana; Monges, Jorge (1999). "Lateral ventricle tumors in children: a series of 54 cases". Child's Nervous System. 15 (11–12): 774–85. doi:10.1007/s003810050470. PMID 10603022. S2CID 24045529.
  16. MedlinePlus Encyclopedia: Myelomeningocele
  17. Collmann, H; Sörensen, N; Krauss, J (October 2005). "Hydrocephalus in craniosynostosis: a review". Child's Nervous System. 21 (10): 902–12. doi:10.1007/s00381-004-1116-y. PMID 15864600. S2CID 9767488.
  18. Tal, Y; Freigang, B; Dunn, HG; Durity, FA; Moyes, PD (April 1980). "Dandy-Walker syndrome: analysis of 21 cases". Developmental Medicine and Child Neurology. 22 (2): 189–201. doi:10.1111/j.1469-8749.1980.tb04327.x. PMID 7380119. S2CID 32441138.
  19. Tal, Y.; Freigang, B.; Dunn, H. G.; Durity, F. A.; Moyes, P. D. (1980). "Dandy-Walker Syndrome: Analysis of 21 Cases". Developmental Medicine & Child Neurology. 22 (2): 189–201. doi:10.1111/j.1469-8749.1980.tb04327.x. PMID 7380119. S2CID 32441138.
  20. Imaging in Dandy-Walker Malformation at eMedicine
  21. Samii, Madjid; Carvalho, Gustavo A; Schuhmann, Martin U; Matthies, Cordula (1999). "Arachnoid cysts of the posterior fossa". Surgical Neurology. 51 (4): 376–82. doi:10.1016/S0090-3019(98)00095-0. PMID 10199290.
  22. "Health Content A-Z".
  23. Drake, J. M.; Kestle, J. R. W.; Tuli, S. (2000). "CSF shunts 50 years on – past, present and future". Child's Nervous System. 16 (10–11): 800–4. doi:10.1007/s003810000351. PMID 11151733. S2CID 25864131.
  24. Khan F, Rehman A, Shamim MS, Bari ME (2015). "Factors affecting ventriculoperitoneal shunt survival in adult patients". Surgical Neurology International. 6: 25. doi:10.4103/2152-7806.151388. PMC 4338490. PMID 25722930.
  25. Enger, P. Ø.; Svendsen, F.; Wester, K. (2003). "CSF shunt infections in children: experiences from a population-based study". Acta Neurochirurgica. 145 (4): 243–8, discussion 248. doi:10.1007/s00701-002-1068-5. PMID 12748883. S2CID 21186907.
  26. Brook, Itzhak (2002). "Meningitis and shunt infection caused by anaerobic bacteria in children". Pediatric Neurology. 26 (2): 99–105. doi:10.1016/S0887-8994(01)00330-7. PMID 11897473.
  27. Shah, Samir S.; Smith, Michael J.; Zaoutis, Theoklis E. (2005). "Device-related Infections in Children". Pediatric Clinics of North America. 52 (4): 1189–208, x. doi:10.1016/j.pcl.2005.05.003. PMID 16009263.
  28. 1 2 James, H E; Walsh, J W; Wilson, H D; Connor, J D; Bean, J R; Tibbs, P A (1980). "Prospective randomized study of therapy in cerebrospinal fluid shunt infection". Neurosurgery. 7 (5): 459–63. doi:10.1097/00006123-198011000-00006. PMID 7003434.
  29. 1 2 Steinbok, Paul; Cochrane, D. Douglas (1994). "Ventriculosubgaleal shunt in the management of recurrent ventriculoperitoneal shunt infection". Child's Nervous System. 10 (8): 536–9. doi:10.1007/BF00335079. PMID 7882378. S2CID 26271856.
  30. Morris, Andrew; Low, Donald E. (1999). "Nosocomial bacterial meningitis, including central nervous system shunt infections". Infectious Disease Clinics of North America. 13 (3): 735–50. doi:10.1016/s0891-5520(05)70103-3. PMID 10470564.
  31. Wong, George Kwok Chu; Wong, Sin Man; Poon, Wai Sang (2011). "Ventriculoperitoneal shunt infection: intravenous antibiotics, shunt removal and more aggressive treatment?". ANZ Journal of Surgery. 81 (4): 307. doi:10.1111/j.1445-2197.2011.05690.x. PMID 21418491. S2CID 29313810.
  32. Schreffler, Rachel T.; Schreffler, Andrew J.; Wittler, Robert R. (2002). "Treatment of cerebrospinal fluid shunt infections: a decision analysis". The Pediatric Infectious Disease Journal. 21 (7): 632–6. doi:10.1097/00006454-200207000-00006. PMID 12237594. S2CID 33213930.
  33. Jones, R. F.C.; Stening, W. A.; Kwok, B. C.T.; Sands, T. M. (1993). "Third Ventriculostomy for Shunt Infections in Children". Neurosurgery. 32 (5): 855–9, discussion 860. doi:10.1227/00006123-199305000-00024. PMID 8492866.
  34. 1 2 Browd, Samuel R.; Gottfried, Oren N.; Ragel, Brian T.; Kestle, John R.W. (2006). "Failure of Cerebrospinal Fluid Shunts: Part II: Overdrainage, Loculation, and Abdominal Complications". Pediatric Neurology. 34 (3): 171–6. doi:10.1016/j.pediatrneurol.2005.05.021. PMID 16504785.
  35. 1 2 3 Martínez-Lage, Juan F.; Ruíz-Espejo, Antonio M.; Almagro, María-José; Alfaro, Raúl; Felipe-Murcia, Matías; López López-Guerrero, A. (2009). "CSF overdrainage in shunted intracranial arachnoid cysts: a series and review". Child's Nervous System. 25 (9): 1061–9. doi:10.1007/s00381-009-0910-y. PMID 19452154. S2CID 7373059.
  36. Mancarella, C; Delfini, R; Landi, A (2019). "Chiari Malformations". New Trends in Craniovertebral Junction Surgery. Acta Neurochirurgica Supplement. Vol. 125. pp. 89–95. doi:10.1007/978-3-319-62515-7_13. ISBN 978-3-319-62514-0. PMID 30610307. S2CID 58559862.
  37. Gkolemis, C; Zogopoulos, P; Kokkalis, P; Stamatopoulos, G; Syrmos, N; and Paleologos, T.S. (2014) "Management of multiple, late onset complications in a 33-year-old female, with a ventriculoperitoneal shunt and crohn's disease," Pakistan Journal of Neurological Sciences (PJNS): Vol. 9: Iss. 3, Article 10.
  38. Oushy, Soliman; Parker, Jonathon J.; Campbell, Kristen; Palmer, Claire; Wilkinson, Corbett; Stence, Nicholas V.; Handler, Michael H.; Mirsky, David M. (November 2017). "Frontal and occipital horn ratio is associated with multifocal intraparenchymal hemorrhages in neonatal shunted hydrocephalus". Journal of Neurosurgery. Pediatrics. 20 (5): 432–438. doi:10.3171/2017.6.PEDS16481. ISSN 1933-0715. PMID 28885094.
  39. Brownlee, Richard D.; Dold, Oliver N.R.; Myles, Terence (1995). "Intraventricular Hemorrhage Complicating Ventricular Catheter Revision: Incidence and Effect on Shunt Survival". Pediatric Neurosurgery. 22 (6): 315–20. doi:10.1159/000120922. PMID 7577666.
  40. Iannelli, A.; Rea, G.; Di Rocco, C. (2005). "CSF shunt removal in children with hydrocephalus". Acta Neurochirurgica. 147 (5): 503–7, discussion 507. doi:10.1007/s00701-005-0494-6. PMID 15838593. S2CID 20809384.
This article is issued from Wikipedia. The text is licensed under Creative Commons - Attribution - Sharealike. Additional terms may apply for the media files.